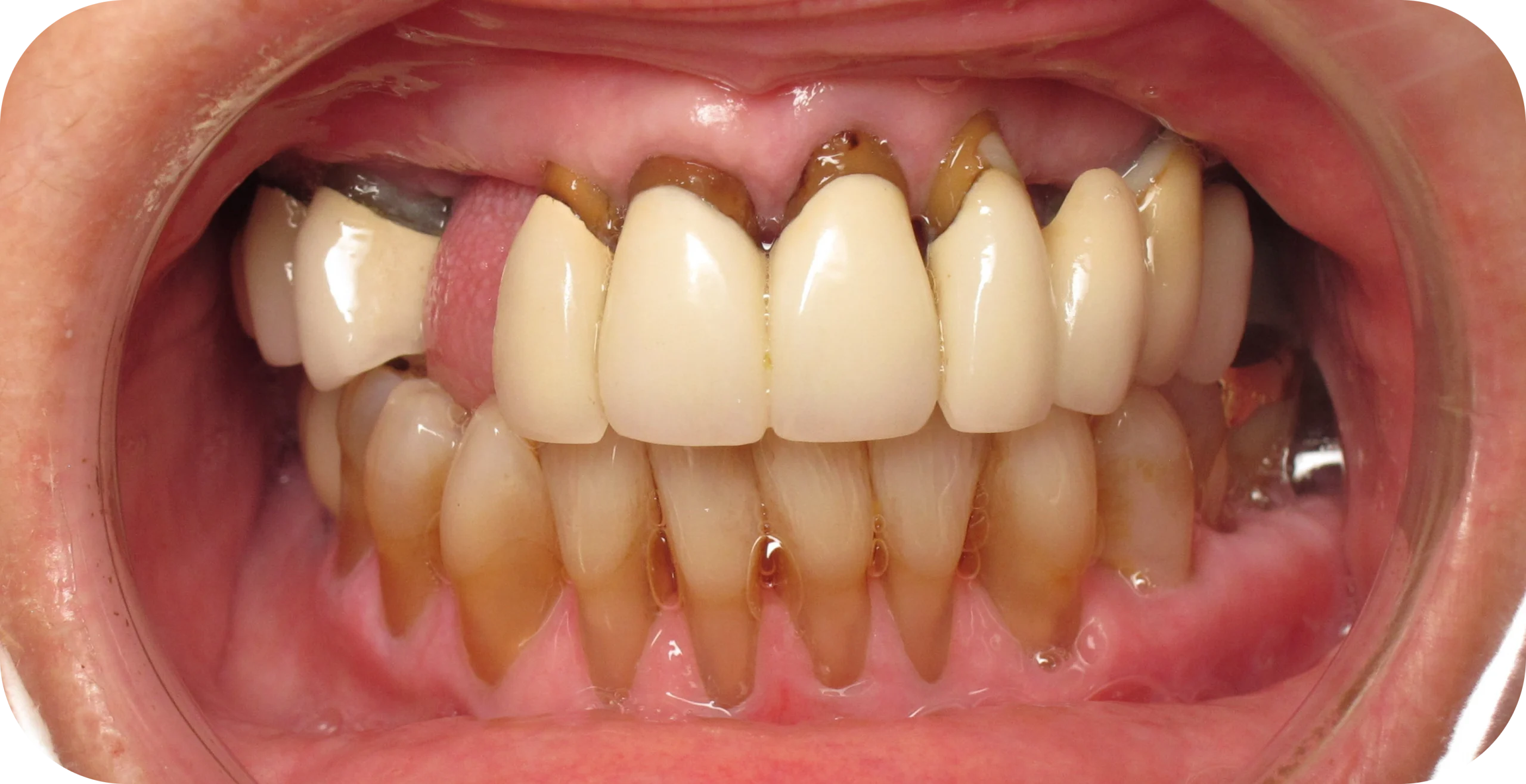
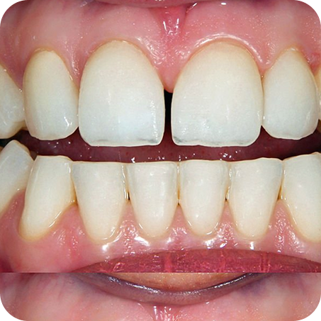
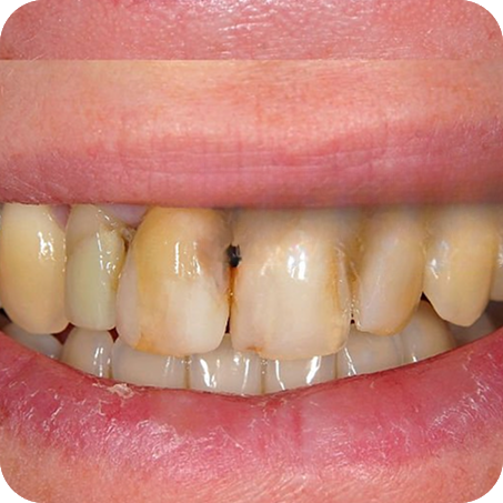
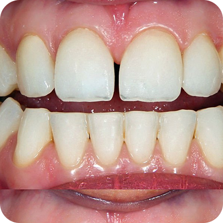
Full Mouth Smile Transformations

Take the First Step Toward Your New Smile
Schedule your expert consultation today. Our team will review your goals, explain advanced treatment options, and create a personalized plan to restore your smile and confidence.
